The Purpose of this Website

I feel there is so much information relating to Dentistry and teeth that I barely get to mention to anyone I meet these days

The site is intended for both Patients and Colleagues

Its purpose is to inform, educate and communicate

My Journey In Dentistry

Why did I become a Dentist and how it motivates what I do now

Courses

Courses I’ve been on recently and what I feel I learned on each one

Products I recommend

How do I brush my teeth? What other dental products do I recommed

My Committee Roles

LDC, GDPC and other roles over the years

My Teaching roles

The best way to affirm learning is to teach it

Examples of my work

Clinical cases with before and after photos

Patient Testimonials/comments

All of the comments are taken from the NHS choices feedback forms my patients fill in

Events and courses I organise

In my role as LDC Chair I organise peer review days and Continuing Professional Development days

The Smile Design Process

How have I applied all of my knowledge from my entire career into the process of Smile Design that I offer today

My Journey In Dentistry

My journey in dentistry started at a young age. I only had 8 of my 20 baby teeth and was missing 15 of my front 20 teeth.

This meant referral to Newcastle Dental School at the age of 5, Dentures all of my childhood with the intention of implant placement when I’d stopped growing.

At 18 I had applied to study at The Charles Clifford Dental School in Sheffield, My care was then transferred to Raj Patel (still a good friend today)

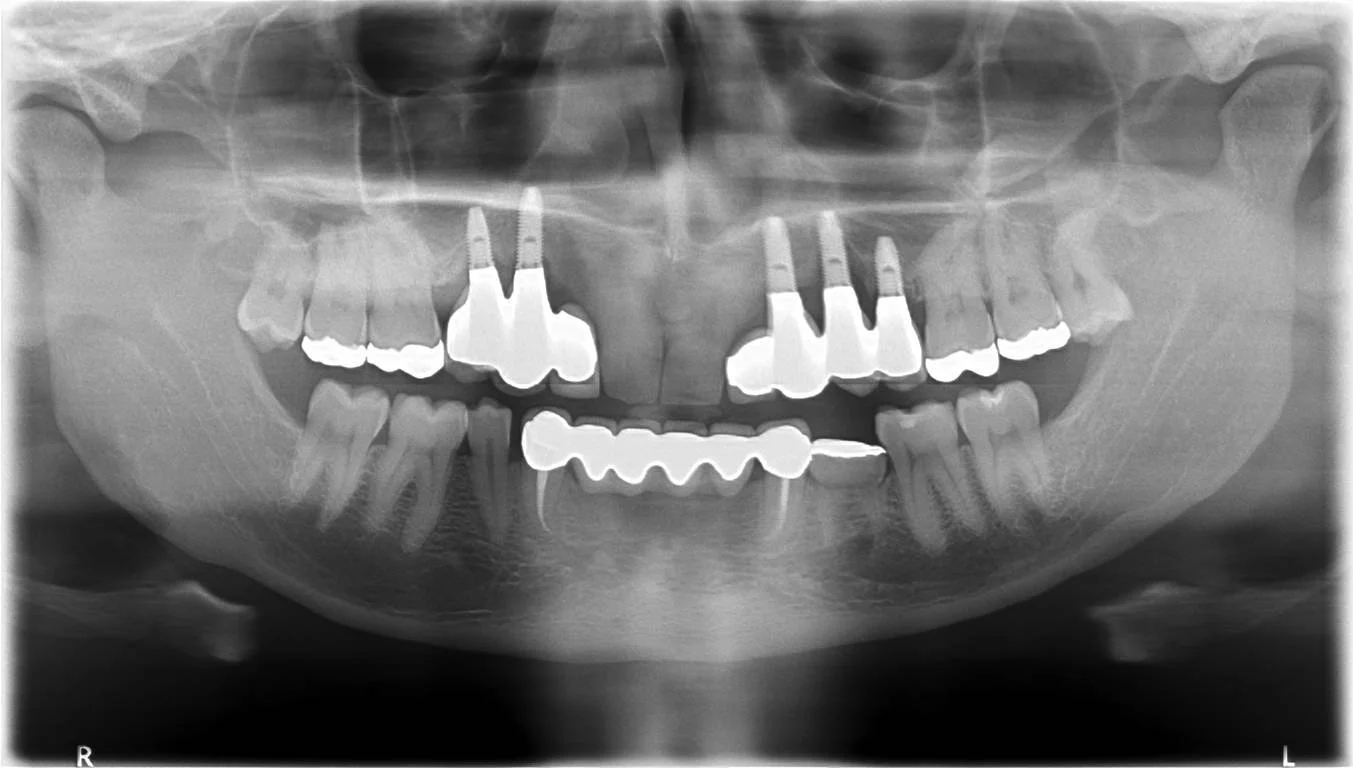
Throughout my 5 years at dental school I had bone grafts to move bone from my lower jaw to my upper jaw, placement of implants and bridges. Changes in my bite height and occlusion, eventually ditching my dentures by the age of 21.

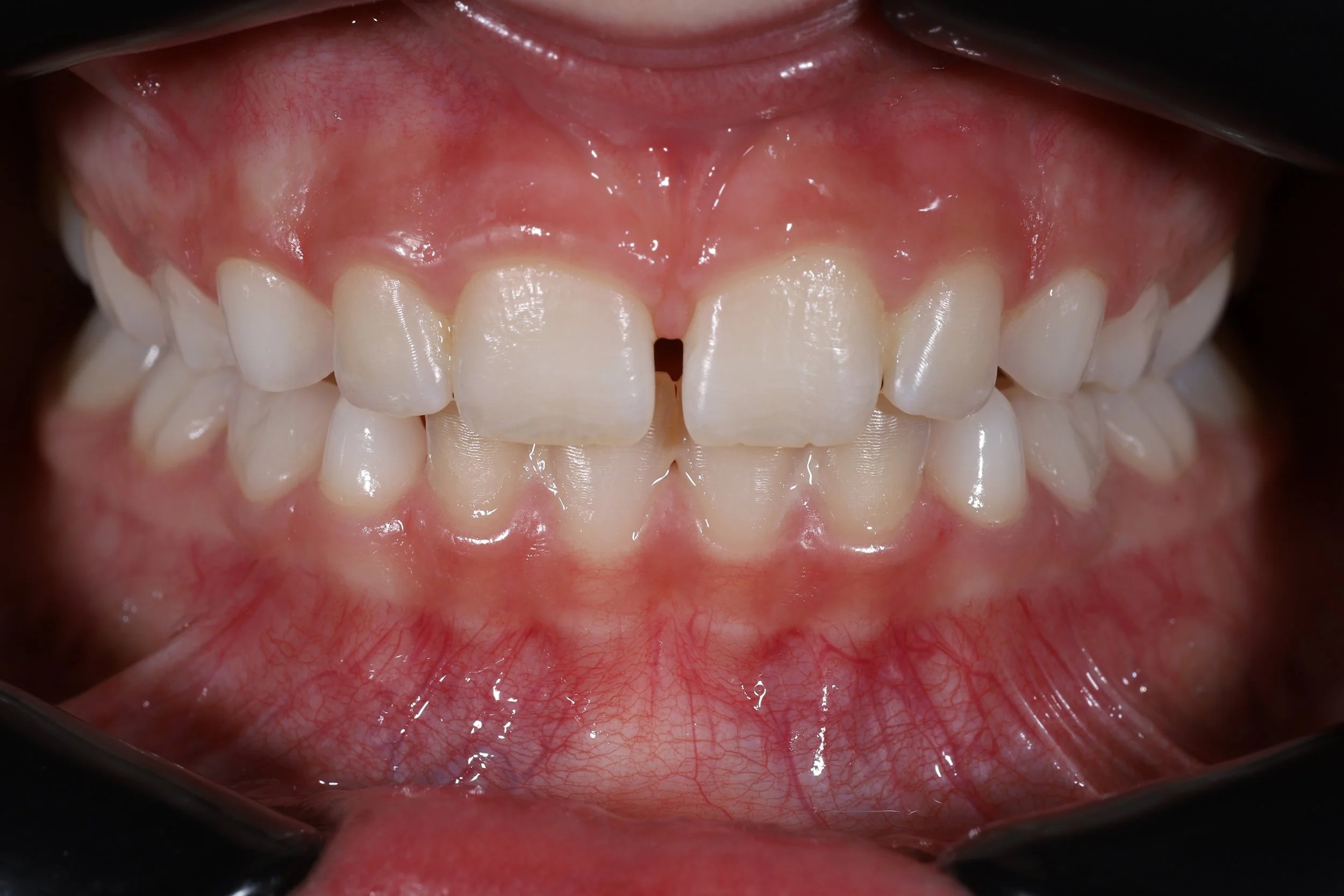
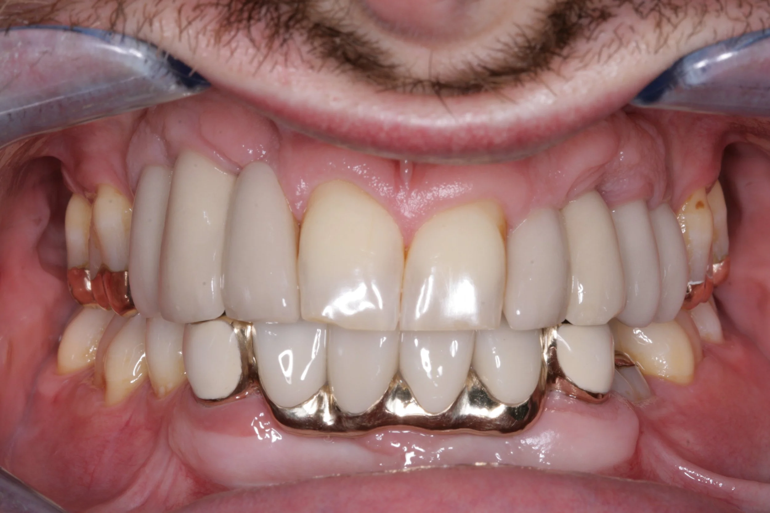
You don’t have to be a dentist to see that my photo and x ray are different to most mouths.

I feel this life experience has given me great insight into what I put my patients through on a daily basis.

I feel I particularly appreciate the pain of injection and strive to improve upon my painless injection techniques every single injection I give.

I continue to strive to gain appropriate skills in the advanced dentistry that I have in my own mouth, just in case my kids ever end up with the teeth I have, I would want to fix them myself.

Patient Testimonials

  • "Steve is always professional and understands my anxieties about coming to the dentist due to bad experiences in the past, explains procedures and answers any questions, nothing is too much bother."

  • "Steve Thompson is the best dentist I’ve ever seen"

  • "A special thank you to Dr Thompson who I feel always goes above and beyond his remit. And yesterday I had an 'emergency' and rang the surgery late afternoon and they gave me an appointment for today at 9.30 am. Excellent."

  • "Dr Thompson is outstanding. Extremely professional and knowledgeable, makes you feel very comfortable and like you’re in great hands. I couldn’t recommend him higher."

  • "I love my dentist. Mr Thompson makes me feel valued and listened to and treats me with respect and kindness and I always leave happy and confident that I have had the best possible care for my teeth and he always makes sure I feel happy as I am a nervous patient but always leave smiling"

  • "Mr Thompson saved my tooth and I felt no pain during the procedure"

  • "Dr Thompson and team are amazing always welcoming and make you feel at ease"

  • "Mr Thompson was very reassuring for a nervous client . He talked me though the process and completed the necessary work with his expertise"

  • "I was extremely nervous about my root canal but Mr Thompson put me at ease straight away & it didn’t hurt at all excellent service"

  • "Mr Thompson & his nurse were very kind & understanding as always. They always put me at ease. Cannot praise them enough. Thank you so much"

  • "Dr Thompson is by far the best dentist my family and I have ever had. "

  • "Absolutely professional, friendly, caring, informative and Steve is a bloody good man"

  • "I have seen Mr Thompson, and I cannot praise him enough. He explained everything in a way that I could understand. He is so professional in his manner both with myself, but also with his dental nurse and receptionist. He just loves his job, and it shows!!"

  • "A fantastic dental practice and a brilliant dentist Steve Thompson. I have been a patient here for many years and it's the best one I have been to in 70 years."

  • "I don’t have the easiest of teeth and I am not the easiest of patients, but Dr Thompson always works his magic to make my teeth work as they should whilst constantly reassuring me and calming my nerves at the same time! Wouldn’t want any other Dentist, he is extremely caring, has a great sense of humour with the most amazing memory too! Thank you!"